Case

治療症例

rootcanal

精密根管治療の症例

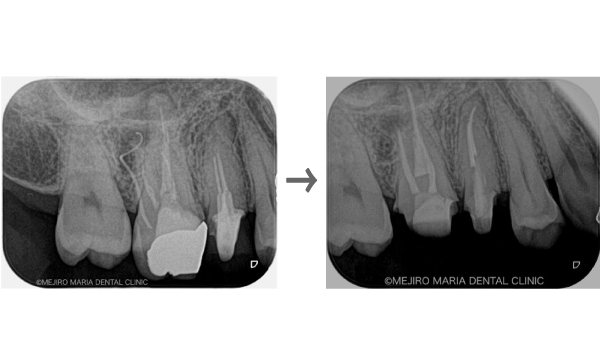
  • ビフォーアフター|【症例】被せ物の下で進行した虫歯に対し精密根管治療で歯質を最大限に保存 |目白マリア歯科
    2026.02.27

    【症例】被せ物の下で進行した虫歯に対し精密根管治療で歯質を最大限に保存

  • 抜歯を宣告された歯・難治性の根尖性歯周炎を精密根管治療にて治癒

  • メイン画像|【症例】セラミック治療後に発症した根尖性歯周炎に対する歯根端切除術|目白マリア歯科

    【症例】セラミック治療後に発症した根尖性歯周炎に対する歯根端切除術

  • 目白マリア歯科|歯周形成外科の症例|【症例】難症例・根の病気と歯周病が併発した症例2(世界基準の精密根管治療と最先端の歯周組織再生療法を用いて全ての問題を解決)|アイキャッチ
    2025.01.22

    【症例】難症例・根の病気と歯周病が併発した症例2(世界基準の精密根管治療と最先端の歯周組織再生療法を用いて全ての問題を解決)

  • 目白マリア歯科|【症例】被せ物の前に行う予防的な根管治療|治療前後の比較画像
    2023.03.18

    【症例】被せ物の前に行う予防的な根管治療

  • 精密根管治療の症例|根管治療のトラブルケース:「破折ファイル」の対処法と考え方|破折ファイル除去治療前後の比較画像2|目白マリア歯科
    2022.11.19

    【症例】根管治療のトラブルケース:「破折ファイル」の対処法と考え方

  • 【症例】大きくなりすぎた根尖性歯周炎を2回の根管治療で治癒へ|再根管治療_術前CT画像と術後1年のレントゲン画像
    2022.08.28

    【症例】大きくなりすぎた根尖性歯周炎を2回の根管治療で治癒へ

  • 目白マリア歯科【症例】精密根管治療の費用対効果の考え方・再根管治療_治療前治療後のレントゲン画像比較
    2022.05.24

    【症例】精密根管治療の費用対効果をどう考えるか(再根管治療)

  • 目白マリア歯科|ブログ|【症例】歯根端切除術の失敗をリカバリー(歯根端切除術)|メイン画像

    【症例】歯根端切除術の失敗をリカバリー(歯根端切除術)

  • 目白マリア歯科|ブログ|【症例】コンセプトを守った再根管治療(精密根管治療)|治療前後の比較画像
    2022.04.03

    【症例】コンセプトを守った再根管治療(精密根管治療)

  • 目白マリア歯科_【症例】生活歯髄断髄法(生活歯髄療法)による歯髄保存症例(精密根管治療)術前画像メイン

    【症例】生活歯保存療法(生活歯髄療法)による歯髄保存症例(精密根管治療)

  • 【症例】虫歯治療後の痛み、精密根管治療(抜髄)_術前術後の比較メイン画像|目白マリア歯科
    2022.02.16

    【症例】抜髄(初回根管治療)精密根管治療 ~虫歯治療後に不可逆性歯髄炎に罹患した症例~

  • 【症例】歯根端切除術により抜歯を覚悟していた歯の保存に成功_術前術後、経過観察の口腔内画像とレントゲン画像|目白マリア歯科

    【症例】歯根端切除術により抜歯を覚悟していた歯の保存に成功

  • 目白マリア歯科|ブログ|症例|原因不明の歯の痛みを、確実な診査診断で解決(クラックトゥース編)|メイン1
    2022.01.26

    【症例】「虫歯がないのに歯が痛い」確実な診査診断で原因不明の痛みを解決(クラックトゥース編)

  • 目白マリア歯科|院長ブログ|症例|【症例】無症状で進行する虫歯・原因不明の歯肉の腫れを、コンセプトを守った初回根管治療(精密根管治療)で治癒|メイン比較画像2
    2021.11.19

    【症例】無症状で進行する虫歯・原因不明の歯肉の腫れを、コンセプトを守った初回根管治療(精密根管治療)で治癒  

  • 目白マリア歯科|【症例】歯性上顎洞炎(蓄膿症)を併発した根尖性歯周炎を、精密根管治療で治癒|歯のレントゲン画像_メイン
    2021.09.20

    【症例】歯性上顎洞炎(副鼻腔炎)を併発した根尖性歯周炎を、精密根管治療で治癒

  • 目白マリア歯科|【症例】・根管治療だけでは治癒に至らない歯を歯根端切除術で保存|術前後の比較|メイン画像|

    【症例】根管治療だけでは治癒に至らない歯を歯根端切除術で保存

  • 【症例】根尖部に充填された人工骨が感染し根尖性歯周炎が難治化した症例。精密根管治療でのリカバリー

  • 【症例】歯根端切除術(意図的再植術)により、病変の大きい根尖性歯周炎の抜歯を回避

  • 0720症例外科的根管治療「歯根端切除術」治療前の画像

    【症例】抜歯を宣告された歯を外科的根管治療「歯根端切除術」で保存(1年後経過観察追加)