治療概要
| 治療内容 | 再根管治療・歯根端切除術|精密根管治療 |
|---|---|
| 治療期間 | 1ヶ月(精密根管治療後2週間後に外科処置を行った) |
| 治療回数 | 1回(他、抜糸、術後3ヶ月後、経過観察等を除く) |
| 費用 | 55,000円(税込) 当院にて精密根管治療後2年内 |
| リスク・副作用 |
|
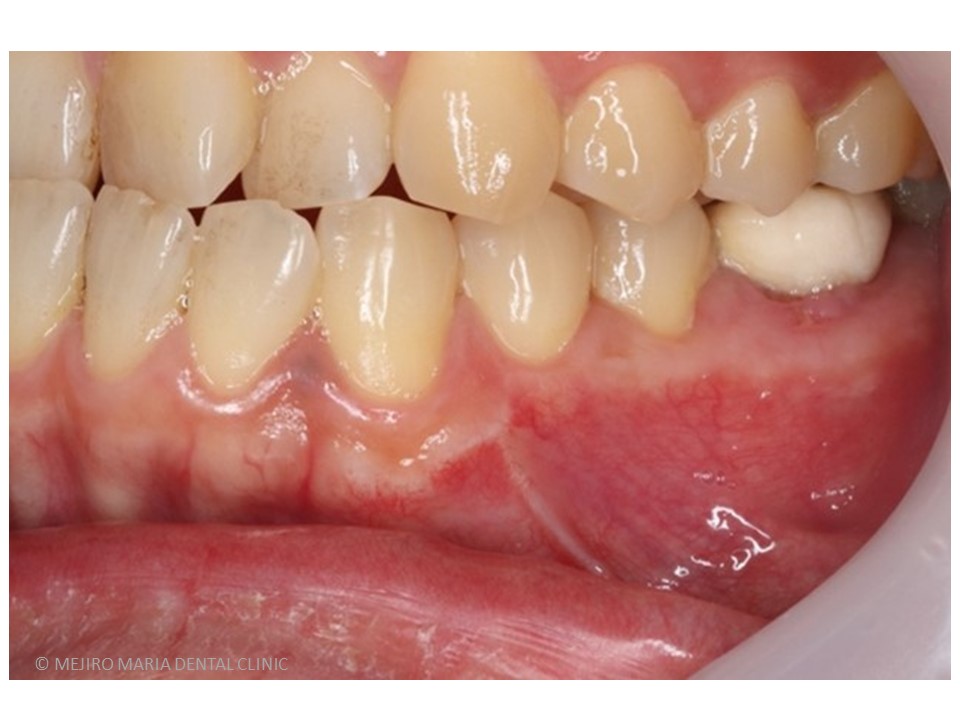
治療前の状態・主訴

2年以上他院にて根管治療で通院されていた患者様の症例です。長期間通院したにもかかわらず症状は改善されず抜歯の宣告をされ、当院を受診されました。
左下6番直下は大きく腫脹し、サイナストラクト(瘻孔・フィステル)と言われる排膿路が確認できました。
治療詳細



当院にて再根管治療を施すもサイナストラクト(瘻孔・フィステル)の消失は確認できず、予後不良と判断し歯根端切除術を行った。
根管治療は解剖学的に洗浄が困難な場合や根尖孔外感染(細菌が根の外に歯石の様な塊を形成する)の場合など通法の根管治療では治癒に至らない症例があります。
そのような症例に長期的に何度も根管治療を施すことは感染経路の拡大や、歯質の過切削につながり逆に予後を悪くする原因となるのです。このような症例は可及的速やかに歯根端切除術に移行することが重要だと考えます。
治療後の様子



歯根端切除術を施した後にはサイナストラクト(瘻孔・フィステル)の消失が確認でき、根尖性歯周炎は寛解へ向かっていると考えられます。
今後、最終補綴処置を行い最低2年のフォローアップ(経過観察)を行い、レントゲンで注意深く根尖周囲組織の治癒を確認していきます。
<2022年2月追記>
2年間術後1年おきに経過観察を行った結果、歯根端切除術後に違和感や腫れはなく良好な治癒を確認しております。

<長期間にわたり根管治療の回数を増やしたことによる予後不良リスクと難症例に対する当院の歯内療法外科(歯根端切除術)による根尖性歯周炎治癒>

この患者様は前医にて2年以上、左下6番の根管治療を毎週行っていた症例です。通院のかいもなく最終的には抜歯を宣告され当院を受診されました。
当院にて完璧な環境下で再根管治療を行いましたが、サイナストラクト(瘻孔・フィステル)の消失までは至りませんでした。これは、「根管治療の限界」と言われます。
複雑な解剖学的形態であるが故に洗浄が行えないことや、時に細菌が根尖孔外(根の外側)で感染を広げ根管治療(中からの治療)では感染源を除去することが難しい場合があるからです。そのような難症例でも、根管治療に引続き歯内療法外科(歯根端切除術)を行うことで根尖性歯周炎を治癒に導くことが可能です。
回数を増やし長期間根管治療を行うことは、ただ単に患者負担を多くするだけでなく、歯牙への感染機会や経路を広げ、また、歯牙の過切削にも繋がることから、将来的な歯の強度を著しく低下させる危険性を秘めています。
根管治療はなるべく早い段階で、良質な治療を受けることをお勧めいたします。
当院では歯牙を残すことはもちろんのこと、このような患者利益を考えて治療をご提案することに重きを置いております。抜歯を宣告されても保存できることは多くあるのでご相談いただければと思います。
下記のページもご参照ください。
● 目白マリア歯科|診療メニュー|根管治療・歯内療法
● 目白マリア歯科|精密根管治療 症例一覧
● 目白マリア歯科|精密根管治療
—–
専門性の高い歯科医療が、すぐそばに。
目白マリア歯科(Mejiro Maria Dental Clinic)
〒161-0033 東京都新宿区下落合3-16-13 グランドール目白1F
tel:03-6908-2923
バリアフリー マイクロスコープ・歯科用CTなど先端医療機器完備 精密根管治療 怖くない、痛くない歯科治療 世界基準の滅菌レベル