Case

治療症例

endodontic

根管治療の症例

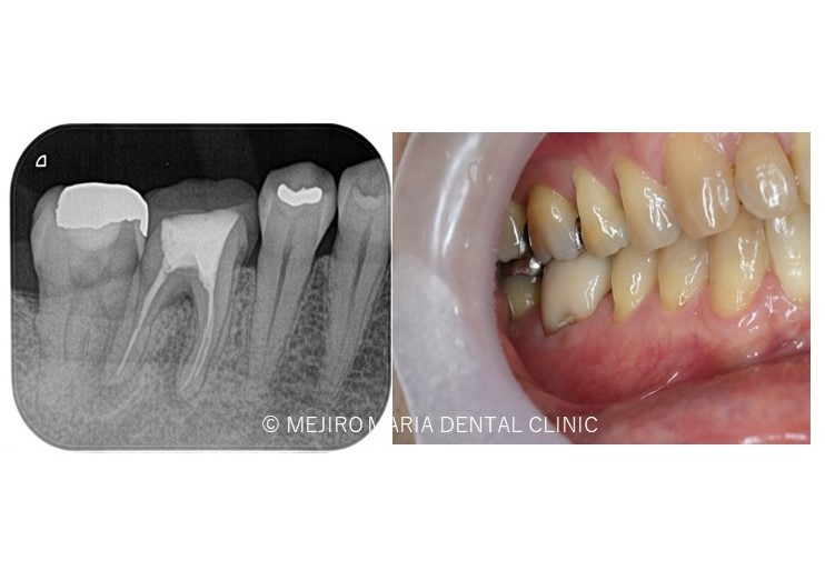
  • ビフォーアフター|【症例】被せ物の下で進行した虫歯に対し精密根管治療で歯質を最大限に保存 |目白マリア歯科
    2026.02.27

    【症例】被せ物の下で進行した虫歯に対し精密根管治療で歯質を最大限に保存

  • 【症例】虫歯治療後の痛み、精密根管治療(抜髄)_術前術後の比較メイン画像|目白マリア歯科
    2022.02.16

    【症例】抜髄(初回根管治療)精密根管治療 ~虫歯治療後に不可逆性歯髄炎に罹患した症例~

  • 目白マリア歯科|ブログ|症例|原因不明の歯の痛みを、確実な診査診断で解決(クラックトゥース編)|メイン1
    2022.01.26

    【症例】「虫歯がないのに歯が痛い」確実な診査診断で原因不明の痛みを解決(クラックトゥース編)

  • 目白マリア歯科|院長ブログ|症例|【症例】無症状で進行する虫歯・原因不明の歯肉の腫れを、コンセプトを守った初回根管治療(精密根管治療)で治癒|メイン比較画像2
    2021.11.19

    【症例】無症状で進行する虫歯・原因不明の歯肉の腫れを、コンセプトを守った初回根管治療(精密根管治療)で治癒  

  • 目白マリア歯科精密根管治療症例抜髄0422メイン
    2020.04.26

    【症例】初回根管治療(歯髄壊死)|患者様利益を考えた精密根管治療

  • 目白マリア歯科の精密根管治療症例画像0191116
    2019.11.16

    【症例】歯根破折を疑わせる症例(治療チャレンジにより抜歯を回避)

  • 目白マリア歯科の根管の複雑さが分かる歯のレントゲン写真
    2019.10.13

    【症例】精密根管治療による複雑な根管形態へのアプローチ

  • 目白マリア歯科初回根管治療症例治療前20190917
    2019.09.17

    【症例】精密根管治療による抜髄処置(初回根管治療)|歯の寿命を左右する初回根管治療