治療概要
| 治療内容 | 抜髄(初回根管治療)|精密根管治療 |
|---|---|
| 治療期間 | 2回(経過観察は含まない) |
| 治療回数 | 精密根管治療2回 |
| 費用 | 181,500円(税込 支台築造処置を含む) |
| リスク・副作用 |
|
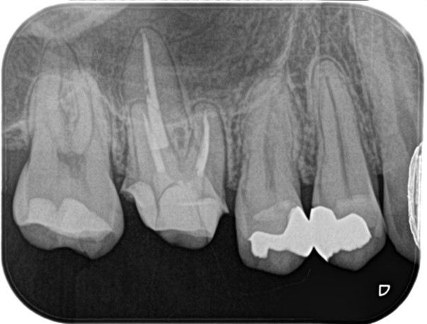
治療前の状態・主訴
_術前のレントゲン画像|目白マリア歯科.jpg)
_術前のレントゲン画像、虫歯処置の箇所マーク|目白マリア歯科.jpg)
治療詳細
_治療中の炎症性出血画像|目白マリア歯科.jpg)
_治療中の根管の画像|目白マリア歯科-1.jpg)
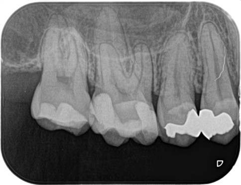
治療後の様子
_治療後のレントゲン画像|目白マリア歯科.jpg)
2回目の治療にて根管充填、支台築造処置まで終了しました。
2回目の治療開始時(1回目の治療から1週間経過後)には痛みは完全に消失していました。今後仮歯を製作し、問題がなければ最終補綴処置(被せもの)の製作に移行します。
3ヶ月後、1年後と今後決められた期間経過観察をおこなっていく予定です。
<虫歯治療の後の強い痛みは虫歯治療による歯髄の細菌感染かもしれません。精密根管治療で再治療の可能性を極力低くすることが大切です>
_術前術後の比較画像|目白マリア歯科-1024x758.jpg)
今回の症例のように虫歯治療によって歯髄へ細菌が感染することは珍しくはありません。
的確な診査、診断のもと根管治療を余儀なくされた場合、次に重要なのは質の高い根管治療をおこなうことで、再治療の可能性を極力低くすることです。
精密根管治療をおこなった場合の歯髄炎の成功率は90%以上です。そのため将来的に再度治療をおこなう可能性を低くすることが可能となります。この成功率というのは決して痛みをとることではなく、将来的な根の病気の罹患率のことを指します。
歯髄炎の場合、歯髄を除去してしまえばよほどの悪い環境で治療しない限り痛みは取り除かれることがほとんどです。なぜならば、痛みを誘発している炎症が起こっているのは歯髄だからです。
しかし、ラバーダムを使わない環境や、設備が充分でない環境での治療では、治療中に細菌を根管内に流入させてしまうことになり、将来的に根尖性歯周炎という新たな病気を作っているにすぎません。
下記のページもご参照ください。
● 目白マリア歯科|診療メニュー|根管治療・歯内療法
● 目白マリア歯科|精密根管治療 症例一覧
● 目白マリア歯科|精密根管治療
—–
専門性の高い歯科医療が、すぐそばに。
目白マリア歯科(Mejiro Maria Dental Clinic)
〒161-0033 東京都新宿区下落合3-16-13 グランドール目白1F
tel:03-6908-2923
バリアフリー マイクロスコープ・歯科用CTなど先端医療機器完備 精密根管治療 怖くない、痛くない歯科治療 世界基準の滅菌レベル