If you lose a tooth

歯を失った時の治療

Choices

歯を失った時の選択肢

歯を失った時のあなたの選択肢は4つです。

  • 1インプラント
  • 2ブリッジ
  • 3入れ歯
  • 4何もしない(抜いたまま)

以上の4つの選択肢からあなたはどれかを選ぶ必要があります。
もし歯を失ったら、できるだけ早く適切な処置を受けるべきなのでしょうか?
それは、あなたのお口の中の状況や嚙み合わせ、失った部位によってメリットデメリットも大きく変わってくるため、一概に何が正解かはお伝えすることができないのです。

そのため、4つの選択肢についてしっかりと把握した上でご自身の状況と、歯科医師の見解を聞いてご自身で選ぶことが大切だと考えます。

このページでは、それぞれの治療法の基本的なメリットやデメリットをご紹介していますが、最終的にあなたのお口の中の状況にあった治療法を選んでいただく際に参考にしていただければ幸いです。

About

抜歯になるのはどういうときか

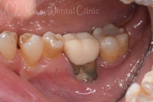
大きく分けで歯を失うときには「根に致命的なヒビが入っていることで根の治療ができない場合」、「根の治療ができないくらい虫歯が進行してしまった場合」、「重度の歯周病の場合」が代表的な原因です。
目白マリア歯科では、歯を残すことに特化した診療を行っておりますが、上記の場合には、保存することが適さないこともあるので、抜歯を余儀なくされることもあります。

歯根破折

歯根破折

歯に亀裂が生じたことで、神経管の中に細菌が流入し続けることで、結果として根の病気が治らない状態。

すごく大きな虫歯

すごく大きな虫歯(歯質過少)

被せ物を行うことができないくらい歯が虫歯になっている状態。

重度の歯周病

重度の歯周病

歯周病によって骨の喪失が著しく、歯が縦に揺れている状態。

Choices

抜歯後の選択肢

歯を失った時の患者様の選択肢としては、QOL、咀嚼能力は インプラント≧ブリッジ⪢入れ歯>そのまま という順番に低下していきます。 守るべきものは機能と残存歯という概念から考えると、インプラントは良い選択肢となることが多いですが、生体に異物(インプラント)を入れることに抵抗がある方や、全身疾患等でインプラントが選べない場合、歯周病のリスクが高い方などは、ブリッジもしくは入れ歯が良い選択肢になるかもしれません。下記ではそれぞれの素材のメリット、デメリットを記載していますので、参考にしてください。

Implant treatment

目白マリア歯科のインプラント治療

歯周病専門医とインプラントの経験豊富な
ドクターが妥協しないインプラント治療を
ご提供します。

抜歯をしなければならないほどの歯の周囲組織は、ほとんどの場合、骨や歯ぐきが瘦せてしまっています。
そのため「どのように抜歯をするか」「インプラント周囲組織の環境をどれだけ理想的な状態に近づけることができるか」がインプラント治療では大切になります。
現在は様々な手法がありますが、目白マリア歯科では歯周病専門医、インプラント担当医のみならず、歯内療法専門医などを交えていかに侵襲の少ない環境で抜歯からインプラント埋入まで行うかを考え、ご提案します。

インプラントをより安全に長く
使用いただくために大切なこと

①歯茎が健康であること

インプラントを長くお使いいただくためには、歯茎が健康であることが大切です。健康な歯ぐきとは歯周病に罹患していないということはもちろん、歯周病に抵抗できるだけの強い歯ぐきを持つことが大切です。付着歯肉といわれる硬い歯ぐきは歯周病抵抗性を持つといわれる強い歯ぐきですが、抜歯をすることで失われてしまう組織(歯ぐき)です。目白マリア歯科では、歯周病専門医により付着歯肉を再建することで、より安心して長くインプラントをお使いいただける環境を整えます。

②骨が十分にあること

インプラントは骨の中に人工歯根を埋め込み、歯の土台とする治療です。しかし、骨は抜歯をすることでボリュームは低下し、抜歯時の歯周組織の炎症が重度であればあるほど、抜歯後の骨のボリュームは無くなってしまいます。そのため、抜歯前に精密根管治療を行い、できるだけ炎症を抑えた状態で抜歯をする、もしくは、抜歯時に歯周病専門医によって抜歯窩に人工骨を補填することで、抜歯後の骨のボリュームを担保する方法もあります。
近年では、抜歯時に即インプラントを埋め込むことで骨を担保する方法もありますが、どのテクニックをそれぞれのケースに用いるかを診断することが一番大切です。

③カラダが健康であること

全身疾患は口の中の歯周状態を大きく左右するひとつの要因です。代表的なものは糖尿病、動脈硬化などがあり、また喫煙も歯周病リスクを高める要因のため、インプラントとの相性は良くありません。目白マリア歯科では、以上の既往やリスクのある方には、お口の中の健康を一生涯保っていただくためにも、厳しいかもしれませんがHba1cの数値のコントロールや薬剤の変更、禁煙をお願いしております。

インプラントを行うにあたって
充分な歯周組織がない場合

どんなに条件が良い状態で抜歯を行っても、ある程度の歯周組織は失われてしまいます。ましてやひどく炎症がある状態で抜歯せざるを得ない場合の歯周組織は時に大きく失われます。そのような条件がインプラントを行うにあたって、歯周組織が失われている状態=インプラントを行うには条件が悪い、ということになり、より安全に長くインプラントを使っていただくためには、骨造成(骨を増やす治療)や歯ぐきの移植を行うことで、インプラントをより安全にお使いいただく環境を整えることができます。

骨造成

代表的な骨造成には、「骨再生誘導法(GBR)」「上顎洞底挙上術(サイナスリフト、ソケットリフト)」があり、それぞれ骨を増やす箇所や量によって術式が変わります。

骨再生誘導法(GBR)

GBRとは、「Guided Bone Regeneration(骨再生誘導法)」の略で、骨が不足しているところにいわゆる盛り土のように骨を作り出す方法です。材料として、自家骨という患者さん自身の骨や、人工骨を使用します。自家骨は安全な反面足した骨が組織に吸収されやすく、また人工骨は感染には弱いが吸収されにくいという特徴があります。
また、盛り足した骨をカバーする役割の「バリアメンブレン」を使用します。これは、骨の治癒スピードは遅く、歯肉の治癒スピードは早いため、移植した骨が完全に骨化する前に、歯肉の治癒に骨化を阻害されてしまうのを防止するために使用するものです。バリアメンブレンは数か月で除去しますが、盛り足した新しい骨は数ヶ月〜数年かけながら本物の骨のように変化していきます。

上顎洞底挙上術

上顎洞底挙上術(ソケットリフト、サイナスリフト)

上顎の奥歯にインプラントを入れるときに問題になるのが上顎洞の存在です。上顎洞とは鼻の脇の副鼻腔という空間のことで、上顎洞の位置によっては上顎の奥歯相当部の骨が薄くなっている場合があります。その場合、上顎洞の底の部分に骨を盛り足すことでインプラントを入れられるだけの骨の厚みを確保します。その方法を「上顎洞底挙上術」といい、上顎洞の下からアプローチするか、横からアプローチするかでそれぞれソケットリフト、サイナスリフトという名前がついています。

ソケットリフト
ソケットリフト
サイナスリフト
サイナスリフト

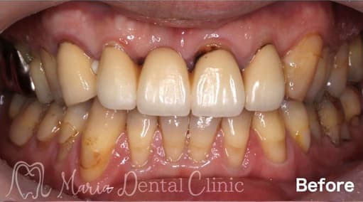
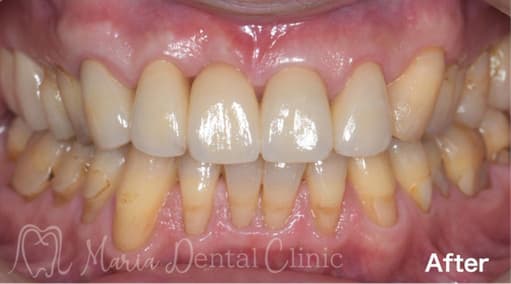
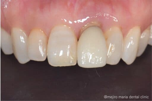
GBRの症例

【症例】抜歯後に大きく失った骨をGBR(骨造成)で再建し、清掃性と長期安定性を確保したインプラント治療

本症例では、抜歯後に骨と歯肉を大きく失ったため、通常のインプラントが困難な状態でした。GBR(骨造成)で欠損した骨を再建し、インプラントに必要な支持骨量を確保することで、清掃性と長期安定性の向上につながる環境を整えることができました。

before
after
治療内容 GBR・FGG・インプラント治療
治療期間 24ヶ月(抜歯から最終補綴装着までの期間)
治療回数 6回(他、抜糸、術後3ヶ月後、1年後の経過観察等を除く)
治療費用 990,000円(税込)

症例から言えること

抜歯後に大きく失われた骨と歯肉により、通常のインプラント治療では対応が難しい状態でした。GBR(骨造成)とFGG(遊離歯肉移植術)を組み合わせて周囲組織を再建し、ガイデッドサージェリーを用いることで、理想的な位置にインプラントを埋入できました。十分な骨量と強い歯肉を確保することで、清掃性と長期安定性に優れたインプラントが実現した症例です。インプラントの成功には、埋入技術だけでなく周囲組織の環境を整えることが極めて重要であることを示しています。
主な副作用・リスク
  • 下顎の臼歯における手術にはオトガイ神経の麻痺が生じる可能性はあります。
  • 外科手術後には腫れ、痛みが伴う場合があります。
  • 歯肉の移植・インプラントの生着が不十分である場合は再度外科手術が伴う場合があります。
  • 術野の範囲、使用する材料により若干の金額の変動があります。

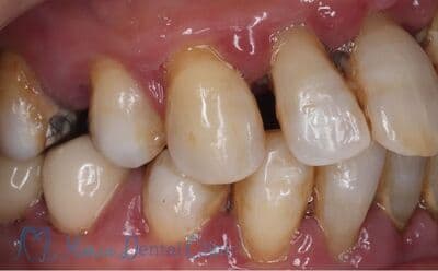
サイナスリフトの症例

【症例】サイナスリフトで骨を増やし、奥歯の支えを回復したインプラント治療

本症例の患者様は、右側の歯を抜歯した後そのまま放置していたことで噛み合わせが大きく乱れ、右上の歯周病が進行して抜歯に至りました。抜歯後は上顎洞に近接して骨量が著しく不足していたため、サイナスリフトによって新たな骨を増やし、インプラントを支える土台を再建しました。十分な骨量を確保することで、奥歯の咬合支持を回復した症例です。

before
after
治療内容 サイナスリフト、インプラント、矯正治療
治療期間 10ヶ月
治療回数 4回(他、抜糸、術後3ヶ月後、1年後の経過観察等を除く)
治療費用 3,300,000円(税込、サイナスリフト他、矯正治療を含む)

症例から言えること

本症例は、抜歯後の欠損部を放置すると歯が傾斜し、咬合支持が失われることで噛み合わせ全体が乱れ、別の部位の歯周病が急速に悪化することを示しています。さらに、こうした連鎖は将来的な大きな咬合崩壊につながる可能性があります。一方、骨量不足があってもサイナスリフトによりインプラントを支える骨を再建することで、機能を回復し、咬合の安定を取り戻すことが可能です。複雑な症例ほど、早期の診査・診断と適切な処置が咬合崩壊を防ぐ鍵となります。
主な副作用・リスク
  • 上顎洞膜(シュナイダー膜)の穿孔:最も頻度が高い偶発症。穿孔した場合は修復処置を行うか、状況によっては予定の処置を延期する場合があります。
  • 出血:上顎洞周囲には血管が存在するため、術中に出血する可能性があります。通常は止血可能ですが、まれに追加処置が必要になります。
  • 骨補填材の迷入:膜穿孔時に生じることがあり、必要に応じて除去する処置を行います。
  • 腫れ・痛み・皮下出血:数日〜1週間続く場合があります。
  • 上顎洞炎:鼻づまり・頬部痛などの症状が出ることがあります。副鼻腔炎の既往がある場合、発症リスクが若干高まります。
  • 感染:まれに骨補填材や手術部位が感染を起こすことがあります。
  • 抗生剤投与や洗浄処置、重症例では骨補填材の除去が必要になる場合もあります。
  • 創離開:術後に縫合部が開くことがあります。再縫合や追加処置が必要な場合があります。
  • 鼻出血・空気漏れ感:術後に軽い鼻出血が数日続く場合があります。術後数日は鼻を強くかまないように注意が必要です。
  • インプラント合併症:同時にインプラントを埋入した場合、インプラントの初期固定不足、上顎洞側への迷入のリスクがわずかながら存在します。

歯肉の移植

インプラントの長期的な安定には、十分な歯ぐきの厚みが重要です。歯ぐきの厚みが足りない場合、上あごの口蓋から厚みのある健康な歯ぐきを採取し、不足している部位に移植することで、インプラント周囲の歯肉を強化することができます。これにより、インプラントの周りに丈夫な歯ぐきを確保し、細菌感染を防ぎながら長期の安定性を高めます。

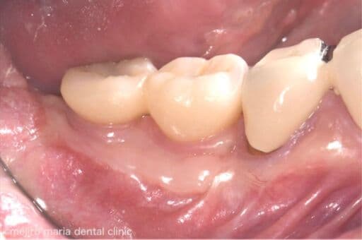
歯肉移植の症例

インプラントを守るために強い歯茎を移植(FGG)

インプラントの周りの硬い歯茎が失われた患者様に対する、歯茎再生の手術(付着歯肉を増やすための歯茎の移植)を行った症例です。

before
after
治療内容 遊離歯肉移植術(FGG)
治療期間 3ヶ月(移植した歯茎が落ち着くまで)
治療回数 1回(他、抜糸や経過観察を除く)
治療費用 137,500円(税込)

症例から言えること

抜歯すると、骨のボリュームと歯茎のボリュームが下がるため、強い歯ぐきも同時に失われます。その結果、インプラントを埋入するときに必要な付着歯肉が得られない(3mm以下)状態になってしまうケースは少なくありません。この症例の患者様のように硬い歯茎が失われていると、インプラントが長持ちしないことが多くの研究で明らかになっています。インプラントは虫歯になることはありませんが、歯周病になることはあります。インプラントをできるだけ長く使用するために、インプラント周囲炎に罹患させないよう、清掃性を高め、インプラント周囲を清潔に保つことは非常に重要です。
主な副作用・リスク
  • 手術に伴う合併症として、出血、腫れ、痛みが生じる可能性があります。
  • 移植した歯肉に適切に血流が回復しなかったり、細菌感染を起こしたりすると生着不全が生じることがあります。
  • 下歯槽神経麻痺を起こす可能性があります。
  • 一度で付着歯肉が十分に得られなかった場合には再度手術が必要になる場合があります。

※重度の歯周病、喫煙者、糖尿病、その他基礎疾患がある方は、インプラントができない場合があります。

目白マリア歯科では、骨造成、歯茎の移植に対応できる歯周病専門医が在籍しています。安心してインプラント治療を受けていただけます。

柴田 瑛治 (日本歯周病学会 歯周病専門医)
一般歯科、インプラント担当医
柴田 瑛治の写真
メッセージ

歯を失った場合の治療には、入れ歯・ブリッジ・インプラント、条件によっては歯牙移植といった選択肢があります。
重要なのは、どの治療が可能かではなく、患者さんがどのような治療を望まれているのかを踏まえ、その方にとって何が適しているのかを見極めることです。
いずれの治療法も、ご自身の歯の代替であり、完全に元の状態へ戻るものではありません。
当院ではこの前提に立ち、各治療のリスクや長期的な安全性を考慮したうえで、将来を見据えた治療計画をご提案しています。

経歴
  • 新潟大学卒業
  • 新潟大学(歯の診療科)、今井歯科にて研修
  • 川崎ルフロン歯科(徳誠会) 勤務
  • 目白マリア歯科 勤務
所属・その他
  • 日本歯科保存学会日本歯周病学会
  • JSCT(JIADS Study Club Tokyo)
  • PHIJ
  • M.A.P.
  • PHIJ 10X education 受講
  • JIADS 補綴コース 受講
  • JIADS ペリオコース 受講
小沼 寛明 (日本歯周病学会 歯周病専門医)
歯周病、歯肉形成、骨・歯ぐき再生医療担当医
小沼 寛明の写真
メッセージ

インプラントを長く健康に保つためには、歯ぐきと骨の健全な環境づくりが欠かせません。難症例の手術にも積極的に取り組み、治療後も歯周組織を守るための丁寧なアドバイスを行っています。

経歴
  • 東京歯科大学卒業
  • 慶應義塾大学病院医学部歯科口腔外科学教室 助教
  • 医療法人財団順和会 山王病院 歯科口腔外科インプラントセンター(非常勤)
所属・その他
  • 日本歯周病学会 歯周病専門医
  • 日本臨床歯周病学会
  • 日本口腔インプラント学会 専修医

目白マリア歯科には、
安心してインプラント治療が
受けられる環境が整っています

目白マリア歯科では、最新の歯科器材、材料を用いてより正確に診断を行い、その診断をもとに効率的な術式を立案いたします。

CT

CT

3次元的に頭蓋骨の解剖学的形態を詳細に把握することで、インプラントの手術をより安全に行うための診断ツールです。現在、インプラント治療ではCT撮影は必須とされています。

ガイデットサージェリー

ガイデットサージェリー

CT画像とお口の中をスキャニングしたデータをマッチングさせ、インプラントを正確な位置・角度・深さに埋入する補助器具のことです。難しい位置でのインプラントの埋入でもガイドを用いることで、安全に治療を遂行することができます。

麻酔(静脈内鎮静法)

麻酔(静脈内鎮静法)

インプラントの手術時に、骨造成や歯肉移植など複数の手術を同時に行う場合などは、体力的にも精神的にも患者様の負担が大きくなる場合があります。そのような場合には静脈内鎮静法で眠った状態で手術を行うことで、患者様のご負担を減らすことができます。

Implant treatment

インプラント治療

インプラントは、失った歯の部位に人工歯根を埋入し上部に人工歯を装着することで、天然歯のようにものを噛んだり、見た目を美しくすることができます。今後インプラント治療をお考えの方は、まずは、インプラントの特性を知るために、インプラントの構造や具体的なメリット・デメリットを把握する必要があると考えます。そして、ご自身の今後の治療の選択や、インプラントを埋入した後の日々のメンテナンスにその知識を役立ててもらえればと思います。

インプラントの構造について

インプラントの構造の図

インプラントと天然歯は、見た目は似ていますが、構造的には大きな違いがあります。インプラントは人工的に歯の機能を再現したものであり、天然歯とは異なる構造を持っています。
天然歯は歯髄や歯根膜に神経が通っており、温度や圧力を感じ取ることができます。しかし、インプラントには神経や歯根膜がないため感覚が鈍く、強く噛みすぎても気づきにくい、物を噛んだ時に硬い感じがするなどという感覚の違いがあります。強すぎる力がかかると、骨の吸収(骨が減る)などにつながるリスクがあるため、定期的に適切な管理が必要です。

インプラントの
メリット・デメリット

メリット

  • 自分の歯のようにしっかり噛める
  • 天然歯と変わらない美しい仕上がり
  • 欠損部位に埋入することで周囲の歯を削ったり力の負荷を増加させたりしない
  • 一本いっぽんの歯の仕上がりになるのでフロスなどで日々のメンテナンスがしやすい

デメリット

  • 治療回数は少ないが、治療期間は長くなる
  • 外科的手術が必要になる
  • 歯周病リスクを増悪させると、インプラントの喪失につながる
  • 一度インプラント周囲炎に罹患すると、その後の治療の難易度が高くなる

※インプラントを口腔内に埋入した場合、インプラント周囲炎のリスクを最小限にするために、歯科医院での定期的なプロフェッショナルケア(クリーニング)を受けることが推奨されます。

インプラントの治療の流れ

    検査・カウンセリング

    顎の骨の状態や神経の位置を3D画像で確認し、最適な治療計画を立てます。

    1次オペ

    歯ぐきを切開し、顎の骨にインプラントを埋入。数カ月かけて骨と結合させます。

    2次オペ

    インプラントと人工歯をつなぐ部品(アバットメント)を装着し、歯ぐきの治癒を待ちます。

    完成

    人工歯(上部構造)を装着し、噛み合わせを調整して完成します。

インプラントの保証について

院内保証 5年間の保証(上部構造))
ガイドデント10年保証(インプラント)

※詳しくは、こちらをご参照ください。

インプラントの
メンテナンスについて

3ヶ月に1回 16,500円(2023年10月現在) メンテナンス必須
インプラント歯周炎を防ぐため これから先、歯のトラブルを起こしたくない方は、目白マリア歯科のトータル的なメンテ を受けてください

Bridge treatment

ブリッジ治療

ブリッジは、失った歯の両隣の歯を支えにして、人工の歯を固定する治療法です。削った支えの歯に被せ物を装着し、連結することで自然な見た目と噛む機能を回復します。インプラントに比べて短期間で治療が完了しますが、健康な歯を削る必要があるため、事前の検討が重要です。

ブリッジ治療の
メリット・デメリット

メリット

  • 治療期間が短い(インプラントに比べて短期間で完了)
  • 外科手術が不要(インプラントのような外科的処置が不要)
  • 自然な見た目(審美性が高く、違和感が少ない)
  • 噛む機能を回復(しっかり固定されるため、咀嚼能力が向上)
  • 安定感がある(入れ歯のように取り外ししなくてもよい)

デメリット

  • 健康な歯を削る必要がある(支えとなる両隣の歯に負担)
  • 支えの歯に負担がかかる(長期的に見ると弱くなる可能性)
  • 清掃が難しい(ブリッジ下の隙間に汚れが溜まりやすい)
  • 適応できる条件が限られる(周囲の歯の状態によっては適応不可)

ブリッジ治療で考えるべきこと

ブリッジではインプラントのように身体に異物を入れることや、入れ歯のような煩わしさがないことが最大のメリットではあります。しかし、欠損部位の両隣の歯が天然の歯である場合、健康な歯を削る必要があります。また、欠損部位の負荷を残存歯で力を補わなければならないため、1本の歯にかかる負担は大きくなります。現在では接着性のブリッジなど歯を削らず行える材料もありますが、症例は非常に限られます。ご自身のお口の中の環境や身体的なリスクをお持ちの患者様、インプラントに対する抵抗感がある方などにはブリッジは適した治療かもしれません。

ブリッジの症例

結合組織移植術(CTG)により機能および見た目を改善

前歯のブリッジの見た目の問題と、食べ物が詰まるという2点を主訴に受診された方に、歯肉のボリュームをUPし、機能的、審美的に良好なブリッジ治療を完了した症例です。

before
after
治療内容 結合組織移植術(CTG)
治療期間 6ヶ月(外科処置から最終補綴物が入るまで)
治療回数 1回(他、抜糸、経過観察等を除く)
治療費用 165,000円〜(税込)

症例から言えること

本症例では、既存のブリッジが歯肉の大きな陥凹に合わせて作られていたため、見た目の不調和や清掃性の低下が生じていました。そこで、欠損部の歯肉ボリュームを回復させるために結合組織移植術(CTG)を行い、生理的な歯肉形態へと整えた後、新たに適合の良いブリッジを作製しました。歯肉形態を正しく整えることで、審美性・機能性の両面で質の高いブリッジ治療が実現できることを示した症例です。
主な副作用・リスク
  • ブリッジの支台歯への負担が増え、う蝕や歯根破折のリスクが高まる場合があります。
  • ブリッジ部分の清掃性が不良な形態となると、歯肉の炎症や歯周病が進行しやすくなることがあります。
  • 歯肉形態や欠損部の状態によっては、審美性・適合性に影響し、ブリッジの再製作が必要となることがあります。
  • 結合組織移植術により、出血、腫脹、疼痛が生じる事があります。
  • 移植した歯肉が感染を起こしたり、血流が十分でない場合は正着不全を起こしたりする場合があります。

抜歯後の歯茎の凹みを低侵襲で予防し、接着性ブリッジを用いてインプラントを回避_歯槽堤保存術

左上の前歯が歯根破折により保存は難しいと判断された患者様です。抜歯後の補綴治療として、歯をたくさん削るブリッジにも、インプラントにも不安があるということでした。そこで極力侵襲を加えない接着ブリッジという治療法を選択し、なるべく美しい仕上がりになるように抜歯時に歯槽堤保存術を行う事にしました。

before
after
治療内容 歯槽堤保存術
治療期間 3ヶ月~
治療回数 1回(他、抜糸や経過観察等を除く)
治療費用 110,000円~(税込)

症例から言えること

本症例では、前歯の欠損に対して接着性ブリッジを選択し、周囲の歯をほとんど削らずに審美性の高い補綴を実現しました。高い接着力を持つ材料により、隣在歯への負担を最小限にしながら自然な見た目と十分な機能回復が得られています。また、抜歯後の組織変化を適切にコントロールすることで、接着性ブリッジの適合と見た目をより良い状態で仕上げられた点が、この治療法の有用性を示しています。
主な副作用・リスク
  • 接着性ブリッジは適応できるケースが限られます。
  • 強い力が加わると外れるリスクがあります。
  • 抜歯前の診断によっては歯槽堤保存術の適応にならないことがあります。
  • どの程度組織のボリュームが維持されるかは個人差があります。

Denture treatment

入れ歯治療

入れ歯は、歯を失った部分を補う取り外し可能な人工の歯です。部分入れ歯と総入れ歯があり、手軽に咀嚼機能を回復できます。外科手術が不要ですが、噛む力が天然歯より劣り、装着時の違和感が生じることもあります。

入れ歯治療の
メリット・デメリット

メリット

  • 外科手術が不要(体への負担が少ない)
  • 比較的低コスト(保険適用のものは費用が抑えられる)
  • 短期間で作製可能(治療期間が比較的短い)
  • 多数の歯を補える(総入れ歯や部分入れ歯が選べる)
  • 生体にやさしい(歯を削ったり身体に異物を入れたりしない)
  • 修理、調整、作り直しが可能(破損時に作り直しや修理ができる)

デメリット

  • 噛む力が弱い(天然歯やインプラントより咀嚼能力が低い)
  • 違和感がある(使用時に異物感を感じやすい)
  • ずれやすい(食事がしづらい、話しにくい)
  • 骨が痩せやすい(歯がない部分の骨が減少しやすい)
  • 食事の制限がある(硬いものや粘着性のある食べ物が難しい)

入れ歯治療について

入れ歯の噛む力は天然歯やインプラントに比べると、10%~40%と言われており、入れ歯が大きくなるほど咀嚼能力は低下します。しかし、入れ歯治療はインプラントのような異物を体内に入れたり、ブリッジのように歯を削ったりしないので、歯を失った時の治療では生体への侵襲は一番低い治療になります。

If you do nothing

抜歯したまま何もしない場合

上下額第二大臼歯(7番)に関しては、何もしないという選択でも中期的にはトラブルは起きにくいと考えられています。
しかし、それ以外の歯に関しては、何かしらの補綴物でスペースを補うことが中長期的に重要になります。
なぜならば、歯が無くなったことで噛めないということ以外にも、失った歯のスペースに隣の歯が倒れこんできます。特に後方の歯は前に傾斜し、結果噛み合わせの高さを徐々に低くしていきます。
下顎骨は左右につながった一つの骨なので、片方の噛み合わせが乱れることで、顔が歪んだり、あごの関節に負担をかけ口が開けづらくなったりする原因になります。このような状態に陥った場合、乱れた嚙み合わせを再構築するためには、矯正治療や傾いた歯を削り被せ物をして嚙み合わせを整えるなど大きな治療計画が必要になる可能性があります。治療計画が大きくなれば、難しい症例になり、かつ、治療に費やす金額も大きくなることが予想できます。

いっぽうで一本の歯を失ったとしても短期的には日常生活にそこまで支障はないため、実際にどの治療法を選択するか、しないかは患者様にゆだねることになります。

Summary

あなたに適した選択肢を選んでいただくために

歯を失った時に選べる治療法としては、入れ歯、ブリッジ、インプラントの3つです。どの治療法もメリットデメリットがあり、かつ自分のライフスタイルや金額面、治療に費やせる時間、このすべてを考慮し、どの治療法を選択するかを決定したほうが良いかと思います。どの選択肢も選ばれない場合は、そのままの状態になりますが、中長期的にはトラブルが起きるリスクがありますが、ご自身のライフスタイルや時間軸の中でいつ、どの治療を行うかは患者様に決めていただく必要があるのです