治療概要
| 治療内容 | GBR・FGG・インプラント治療 |
|---|---|
| 治療期間 | 24ヶ月(抜歯から最終補綴装着までの期間) |
| 治療回数 | 6回(他、抜糸、術後3ヶ月後、1年後の経過観察等を除く) |
| 費用 | 990,000円(税込) |
| リスク・副作用 |
|
治療前の状態・主訴


患者様は50代の女性で、他院にて根管治療(抜髄)開始後に歯茎の腫れが生じ、当院を受診されました。
前医の治療開始時期から精密根管治療に移行するまでに1年以上の時間が経過していたこともあり、この方の歯内歯周病変は治癒に至らず抜歯を余儀なくされました。
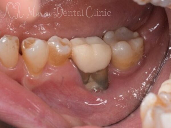
抜歯後には炎症こそ消失したものの歯周組織は大きく失われ、抜歯窩の凹みが著しい状態であったため、通常のインプラント治療では対応は困難でした。
患者様は入れ歯や両隣の歯を削ってブリッジには抵抗があり、できる限りインプラント治療を行いたいという強い希望を持たれていました。
そのため、G B R(骨造成)+F G G(遊離歯肉移植術)+ガイデッドサージェリーにて対応する治療計画を提案させていただきました。
治療詳細



今回はインプラントを行うために失われた骨を増やすG B R(骨造成)を行い、同時に失われた歯肉にはF G G(遊離歯肉移植術)を適応することで対応しました。
G B R(骨造成)を行う際に造成した骨を覆うため歯肉は下部から引っ張ってくる必要があります。
そのため、F G G(遊離歯肉移植術)を行うことで強い厚みのある歯肉をインプラント付近に移植する必要があります。
こちらの症例をご参照ください。
また、インプラントを埋入する際は、C T画像と口腔内の模型をデータ上で融合させることで理想的な位置に埋入できる装置“ガイデッドサージェリー”を使用し、理想的な角度・深度・位置に寸分のエラーもなくインプラントを埋入することができました。
治療後の様子



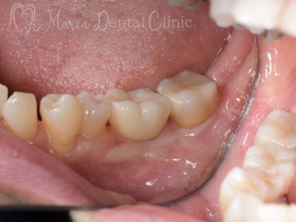
最終補綴物を装着時には歯肉のラインは整い、かつインプラント周囲にはしっかりとした歯肉が確認できます。患者様は術後の違和感や不具合もなく予後の経過は良好です。
骨と歯肉の環境を整えることが、インプラントの長期的な安定を左右します
今回の症例は前医での根管治療が長引いたことで周囲組織も失われてしまった為、抜歯を余儀なくされてしまった症例でした。このような、大きく損傷を受けた歯周組織でも、適切な処置を組み合わせることで機能的・審美的に最大限のリカバリーは可能です。
G B R(骨造成)やF G G(遊離歯肉移植術)を行わずともインプラント治療を行うことが可能なケースはありますが、歯周組織が失われた状態でインプラントを埋入することで歯肉のラインが崩れ、その部位の清掃性が非常に悪くなる、かつ、歯肉が弱い状態でインプラントを使用することで将来的な歯周病(インプラント周囲炎)への感染リスクは高くなると考えられています。
今回のようにG B RとF G Gを併用することで清掃性の高い・良質な被せ物(インプラント)を装着できるようになります。治療後患者様が長く使用するインプラントは、いかに良い環境を構築できるかでその予知性は大きく変わると考えられるため、インプラントを埋入する技術よりその周囲組織の環境を整える技術が最も重要です。
目白マリア歯科では、歯牙が保存できなかった場合でも最大のバックアップができる環境を整えております。患者様のご希望や状況に応じてご提案できる治療方法は様々です。ぜひ一度ご相談にお越しください。
目白マリア歯科 歯科医師 小沼
こちらもご覧ください。
歯を失った時の治療|目白マリア歯科
【症例】歯根破折を疑わせる症例(治療チャレンジにより抜歯を回避)|目白マリア歯科