治療概要
| 治療内容 | 精密根管治療・インプラント・審美的口腔機能回復、 そのほか全顎的治療 |
|---|---|
| 治療期間 | 2年 |
| 治療回数 | 月1回〜2回の来院 |
| 費用 | インプラント9本 精密根管治療4本 被せもの(インプラント部位を含む)15本 他、仮歯、骨造成費用含む 合計721万円(税込) ※処置当時の料金 |
| リスク・副作用 |
|
治療前の状態・主訴



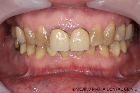
患者様は、長年にわたり臼歯部(奥歯)の噛み合わせの調子が悪いことと、食事の際に痛みを感じることを主訴に来院されました。前歯部から口腔内を確認すると大きなトラブルは確認できませんが、レントゲン撮影と口腔内診査を行うと、多数の臼歯部の歯牙(歯)が歯根破折により抜歯を余儀なくされる状況でした。
この患者様の場合、治療中にも現状の噛み合わせが崩壊する可能性があり、治療中もしくは治療後に不快症状を覚えたり、仮歯や最終補綴物が破損したりすることも考えられました。そのため、術前に十分な診査、診断を行った上で治療計画を立てる必要があると判断しました。
治療詳細
まずは、歯周組織検査を含めた口腔内診査、レントゲン写真の撮影により、保存できる歯牙と、抜歯をせざるを得ない歯牙などを選定しました。
当院では精密根管治療により、ほとんどの歯牙の保存が可能なことから、最初の段階では、明らかな歯根破折が確認される場合のみ抜歯の診断をしています。精密根管治療を行っても、歯牙保存による費用対効果が低いと考えられる場合は、その都度患者様と相談の上、歯牙を保存するか抜歯するか選択していきます。
また、治療開始前に「診断用WaxUp(ワックスアップ)」を行うことで、理想的な咬合(噛み合わせ)を設定し、治療を安全かつ、効率的に行います。診断用WaxUp(ワックスアップ)とは、被せ物や詰め物を作る際にワックス(ろう)であらかじめ歯の模型を作ることです。診断用WaxUp(ワックスアップ)は、どこが原因で噛み合わせに崩壊が生じているのか予想するためにも、非常に大切な診査となります。

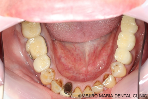
今回の症例では、歯根破折していた5本の歯牙(下の写真・赤矢印)に対して、抜歯を提案した。また、診断用WaxUp(ワックスアップ)を行ったところ左下のブリッジ(青丸)と右下(青矢印)の噛み合わせ平面が乱れており、咬合に負担をかけていることが予想されました。そのため、最終的にそれらの不調和を改善し、適切な噛み合わせにすることをゴールとして治療を開始しました。

治療後の様子



各分野の専門医(精密根管治療専門医・インプラント専門医・口腔外科専門医)が最善を尽くすことで、より高度な治療をスピーディーに終えることができました。
歯根破折は発生してから時間が経つほど、歯肉の周囲に不良肉芽(ふりょうにくげ=感染や異物反応で増殖する肉芽)が成長してしまいます。
そのため、抜歯の際はまず口腔外科医が不良肉芽を確実に除去します。その後、骨がインプラント埋入に耐えられるよう、インプラント専門医がGBR(骨造成)やソケットリフトを施して不足している骨の再生治療を行ってから、インプラントを安全に埋入しました。そのほか、既に根管治療済みの歯で保存できると判断したものは、精密根管治療専門医が保存の処置をしました。
最終段階に入る前に、仮歯の状態で咬合の安定が確認できたことから、最終補綴処置を行いました。最終補綴処置後の経過は良好で、今後はメンテナンスをしながらインプラントを含めた根尖周囲組織、補綴物(被せ物)の長期的な経過を確認していきます。
<各分野の専門医による最善の治療で、患者様のQOLを上げる>


今回の症例は、臼歯部の崩壊により前歯部に負荷がかかり始め「咬合の崩壊」の手前の状態でした。患者様も、徐々に歯が悪くなっていくことを十数年もの間、恐怖に感じていたものの、歯科医院の受診からは遠ざかっていたようです。初診時に「最近では食事することもつらい」と訴えていたことから、患者様のQOL(生活の質)は著しく低下していたことが予想されました。この状況をできる限り早く、確実に改善することが求められる症例でした。
治療期間は2年間と比較的長くなりましたが、初診時の段階で確実な診査、診断を行うことで、治療中のトラブル(仮歯の脱離、痛みなど)を最小限に抑え、各分野の専門医が最短で最良の処置を施すことで、スムーズな治療が実現できました。
現在は、食事や会話の際にも口元を気にすることがなくなったことから、日常生活でのストレスは軽減したと考えられます。
目白マリア歯科では、審美的に美しくかつ適切な咬合(噛み合わせ)を再現し、予後がより良好な歯科治療を目指しています。お口の中全体に悩みや問題がある方に対しても、各領域専門の歯科医師がチーム一丸となり患者様の健康と噛む機能の回復、見た目の美しさを実現し、良好な状況を長く保てる歯科治療を提供しています。長くお口の中のケアをしていなく、不安を抱えておられる方、日々のお食事にも苦痛を感じている方も、まずは目白マリア歯科にご相談ください。
こちらも併せてご覧ください。
目白マリア歯科|インプラント・入れ歯
目白マリア歯科|口腔外科
目白マリア歯科|根管治療・歯内療法