治療概要
| 治療内容 | 歯根端切除術 |
|---|---|
| 治療期間 | 1日 (消毒、経過観察等は含まない) |
| 治療回数 | 1回 (抜糸、術後3ヶ月後、1年後の経過観察等を除く) |
| 費用 | 220,000円(税込)/1本 |
| リスク・副作用 |
|
治療前の状態・主訴
|口腔内の画像_治療前1-1.png)
|歯科用CT_治療前2.png)
|レントゲン画像_治療前3-1.png)
本症例の患者様は、2年前に交通事故で前歯を負傷しました。その際近隣の歯科医院で前歯2本を抜髄し、オールセラミッククラウンを装着されました。しかし、右上の1番はセラミック装着後すぐにろう孔が出現し同時に違和感を覚えるようになったため、治療を行った歯科医院に相談した結果、歯根端切除術を行ったとのことでした。
ところが歯根端切除術を施すも、根尖部の腫脹が改善されなかったため、当院に来院されました(1枚目写真の矢印)。
初診時にCT撮影を行い診査したところ、右上1番の根尖の骨は、根尖性歯周炎により喪失していました。また、左上1番の歯にも小さい病変(根尖性歯周炎)が確認されました(2枚目の写真)。
今回は下記の理由から、オールセラミッククラウンを除去せずに歯根端切除術を再び行う、という解決方法をご提案させていただきました。
①オールセラミッククラウンは適切に装着され、装着してから時間が経過していない
②前の歯科医院にて、すでに歯根端切除術を行なった既往がある
③遠方からの来院
その際に、現時点では症状がない左上1番の歯の歯根端切除術も同時に行い、将来的に再度外科処置を行うリスクを最低限まで下げることも、併せて提案いたしました。
治療詳細
|根尖切断面画像_治療詳細1-1.png)
感染が除去しきれていないことがわかる
|根尖切断面画像2_治療詳細2-1.png)
歯根端切除術開始後、右上1番の歯の根尖切断面を確認すると、凹状に切削されていました。
さらにマイクロスコープにて、根尖方向から根管内を確認すると、感染物と思われる歯科用充填剤が残留していました(2枚目写真の矢印)。これが、今回の根尖性歯周炎の原因であると考えられます。
治療後の様子
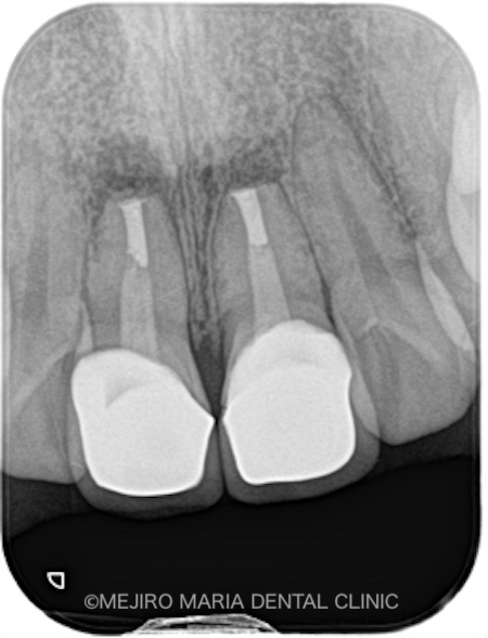
|術前レントゲン画像_治療後1-1.png)
|術直後レントゲン画像_治療後2-1.png)
|術後レントゲン画像_治療後3.png)
術後2週間で、術野の腫脹はほぼ消えて、術前に見られていた瘻孔(フィステル)の消失も確認できました。
|術後14日後の歯の画像_治療後4-300x200-1.png)
3ヶ月後には瘻孔(フィステル)と、術前に訴えていた違和感は消失し、術野の歯肉の治癒も良好であることを確認しました。レントゲンでも、根尖部付近の骨の再生が認められたため、予後良好と判断しています。
|術後3ヶ月後の歯の画像_治療後5-300x199-1.png)
今後は引き続き、1年間隔で経過観察を行なっていく予定です。
<歯根端切除術は適切な診断・処置で成功率90%以上に>
今回のように、歯根端切除術を施すも処置が適切でないために根尖性歯周炎を治癒に導けないような症例は、残念ながら多く見受けられます。
従来の歯根端切除術では、成功率に大きく差がありました。その原因は感染組織、感染物の除去の不確実性にあると考えられます。しかし、現代の歯根端切除術はマイクロスコープ(歯科用顕微鏡)の活用や器具機材の発展により、より確実性を高めることが可能です。その成功率は90%以上であり、適切に処置を施すことで根尖性歯周炎を治癒に導くことが可能です。
また、今回のように前歯部の症例では、術後の切開線の瘢痕(傷跡)は将来的な審美性を左右することから、より高度な診断力と技術が要求されます。
しかしながら、外科処置は身体的な侵襲も比較的大きいため、できるだけ回避しなければいけません。そのためには、根管治療の段階で適切な処置を施すことが重要だと考えます。
目白マリア歯科では、さまざまな症例に対応できる体制を整えております。「いつまでも治療が終わらない」「痛みが取れない」「抜歯宣告を受けた」などのお悩みがある方は、目白マリア歯科の精密根管治療カウンセリングをご利用ください。
併せてこちらもご覧ください。
歯根端切除術とは|目白マリア歯科
精密根管治療 初回カウンセリング|目白マリア歯科
精密根管治療|目白マリア歯科