治療概要
| 治療内容 | 再根管治療・歯根端切除術|精密根管治療 |
|---|---|
| 治療期間 | 3ヶ月 |
| 治療回数 | 精密根管治療2回、歯内療法外科1回、予後経過4回程度 |
| 費用 | 242,000円(税込) 初回カウンセリング料を含む ※処置当時の料金 |
| リスク・副作用 |
|
治療前の状態・主訴
により、病変の大きい根尖性歯周炎の抜歯を回避|治療前_術前レントゲン写真.jpg)
により、病変の大きい根尖性歯周炎の抜歯を回避|治療前_術前レントゲン写真2.jpg)
により、病変の大きい根尖性歯周炎の抜歯を回避|治療前_術前レントゲン写真3(印あり)-1-1.jpg)
本症例の患者様は、左上7番(第2大臼歯)の歯ぐきから膿が出ており、来院されました。口腔内を確認すると根尖性歯周炎(※1)が原因で、左上7番根尖部(歯の根の先)に、瘻孔(フィステル・サイナストラクト ※2)が確認できました。CTにて膿が出ている箇所(写真の赤矢印)を確認すると、左上7番の根尖部に大きく広がっている病変(写真の赤丸)へ繋がっていることが分かりました。
(※1)根尖性歯周炎とは?
歯根の中の細菌が引き起こす感染症で、根尖に膿ができることでさまざまな歯の不調が発生します。歯の神経にまで達したむし歯を放置した場合や、むし歯の治療を途中でやめた場合、根管治療中に唾液に触れた器具により根管内が細菌感染することで、発症する場合があります。根尖性歯周炎は、日常生活ではあまり自覚症状がないことも多いです。そのため、痛みが消えた後に放置していると、ある日突然痛みや腫れを感じることもあります。
(※2)瘻孔(フィステル・サイナストラクト)とは?
「ろうこう」と読みます。根尖性歯周炎が進行すると、根尖に溜まった膿の出口として現れます。おできの様なふくらみで、歯ぐきにポツリとできます。
詳しくはこちらもご覧ください。
目白マリア歯科|精密密根管治療(マイクロエンド)|根管治療の成功率を大きく下げる根尖性歯周炎
治療詳細
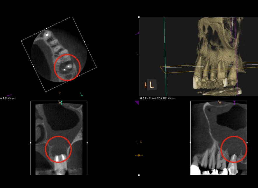
により、病変の大きい根尖性歯周炎の抜歯を回避|治療詳細_術前-CT画像.jpg)
により、病変の大きい根尖性歯周炎の抜歯を回避|治療詳細_精密根管治療終了時のレントゲン画像.jpg)
により、病変の大きい根尖性歯周炎の抜歯を回避|治療詳細_歯根端切除術(意図的再移植術)直後のレントゲン画像.jpg)
により、病変の大きい根尖性歯周炎の抜歯を回避|治療詳細_術前-CT画像-1.jpg)
当院で精密根管治療を施しましたが、瘻孔(フィステル・サイナストラクト)を消失させることが難しく、追加処置として歯根端切除術(今回は意図的再植術)を行いました。また、術前に撮影したCT画像より、根尖性歯周炎が原因と考えられる上顎洞炎(蓄膿症/ちくのうしょう)の併発も確認できました。
治療後の様子
により、病変の大きい根尖性歯周炎の抜歯を回避|治療後_歯根端切除術(意図的再移植術)直後のレントゲン画像.jpg)
により、病変の大きい根尖性歯周炎の抜歯を回避|治療後_歯根端切除術(意図的再移植術)3ヶ月経過後のレントゲン.jpg)
歯根端切除術(意図的再植術)から3週間後の経過観察で、瘻孔の消失が確認できました。また、術後3ヶ月経つと、根尖部付近に確認できていた根尖性歯周炎も小さくなりました。患者様も「噛んだときにも、違和感や痛みなどはない」ということで、予後は良好だと判断しました。今後は最終補綴処置を行う予定です。
術後の上顎洞炎(蓄膿症/ちくのうしょう)のCT確認は、検査に伴う患者様の被爆を考慮して、今回は行いませんでした。患者様には、口腔内に原因がある「歯性上顎洞炎」であれば、今回の根尖性歯周炎の治癒により、上顎洞炎も自然と治癒に向かうと判断していることをお伝えし、もし口腔外に原因があるようなら、耳鼻科を受診することをおすすめしました。
<歯内療法専門の歯科医師による治療レベルで処置を行った場合、病変の大きさは治癒率に影響しません>
により、病変の大きい根尖性歯周炎の抜歯を回避|レントゲンの比較画像-1-1024x756.jpg)
根尖性歯周炎の主な原因が細菌感染であることは、当院のこれまでの症例やコラムを読んでいただければ、お分かりかと思います。そのため、根尖性歯周炎の病変の大きさは、治癒に至る(病変が消失する)までの時間に影響を及ぼします。しかし、歯内療法専門の歯科医師による治療レベルで処置を行った場合は、病変の大きさはほぼ影響しません。
今回の症例の患者様は、病変が大きいことから、かかりつけ医に抜歯を宣告されて、当院へ相談に来られました。当院の治療により、瘻孔(フィステル)は消失し、歯根端切除術(意図的再植術)3ヶ月後の経過観察では、明らかな病変の縮小が確認されました。
根尖性歯周炎は精密根管治療で治癒することが理想的ではありますが、症例によっては外科処置を余儀なくされる場合があります。「病気が大きいから抜歯するしかない」「治療ができないから抜歯するしかない」など、ご自身の歯に関してお困りの方は、一度目白マリア歯科へご相談ください。
こちらもご参照ください
—–
専門性の高い歯科医療が、すぐそばに。
目白マリア歯科(Mejiro Maria Dental Clinic)
〒161-0033 東京都新宿区下落合3-16-13 グランドール目白1F
tel:03-6908-2923
バリアフリー マイクロスコープ・歯科用CTなど先端医療機器完備 精密根管治療 怖くない、痛くない歯科治療 世界基準の滅菌レベル