治療概要
| 治療内容 | 前歯部 |
|---|---|
| 治療期間 | 約半年(治癒期間も含む) |
| 治療回数 | 6回(診査診断、経過観察を除く) |
| 費用 | 137,500円/1本(税込)今回は6本 ※処置当時の料金 |
| リスク・副作用 |
|
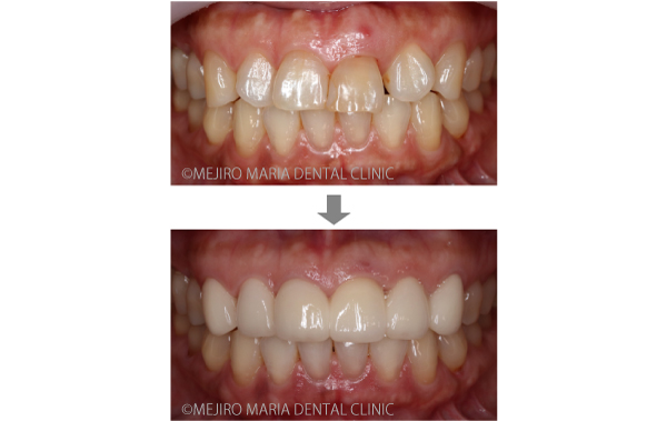
治療前の状態・主訴



前歯部の腫れ(瘻孔・フィステル)と審美的な回復を希望して来院された患者様です。左上1番(前歯)は3年前に根管治療を行うも予後不良であり、同部位には10mmの歯周ポケットが確認されました。レントゲンでは根尖部に歯根を取り巻く透過像(黒い病変を示す影)と破折線が確認でき、当院で根管治療を行っても費用対効果は低いことが予想されました。
治療詳細



今回の問題は、長年にわたり炎症を繰り返していた左上1番の部位が抜歯後に歯肉退縮を起こす可能性が考えられます。歯肉退縮とは、歯茎が下がってしまうことでブリッジや、インプラントを施しても最終的な歯が長くなってしまうことを言います。審美的な歯肉ラインを作り出すためには、歯肉のボリュームをなるべく減らさずに治療を行うことが求められます。その為、今回のケースでは抜歯窩(抜歯後に開いた穴)を完全に掻爬(汚れなどを掻き出す外科処置)した後、人工骨を入れることで骨のボリュームをなるべく減らさせない「ソケットブリザベーション」という方法を選択しました。
術前にWAX UP(ワックスアップ)といって、患者様ごとに治療で目指す理想的な形態を、歯科用のワックス(ろう)で再現した模型模型を作成し、機能面と審美面の両方でシミュレーションを行います。 模型上で最終的な形態や仕上がりを確認し、患者様とイメージを共有しながら治療計画を決定していきます。
カウンセリングの結果、抜歯部位の治療プランニングは、患者様が前歯の「見た目の改善」もご希望されていたことから、最終的に以下2つをご提案しました。
①左上1番インプラント+矯正+ラミネートベニア
②ブリッジによる欠損部位補綴処置+審美的な回復のためのセラミッククラウン
どちらの治療計画にも、歯質削除量(歯を削る量)や治療期間におけるメリット・デメリットがあります。カウンセリングにてすべてご説明した結果、患者様は②を選択されました。
治療後の様子



治療開始時に確認されていた左上1番の炎症は消失し、予想していた歯肉退縮も最小限に抑えることで、良好な歯肉ラインの保存ができています。
<歯根破折により歯牙の保存が難しい場合も、口腔機能の保存と見た目の美しさどちらにも力を注いで治療します>

当院で精密根管治療を行う患者様のうち、ほとんどの方は歯牙の保存が可能です。しかし歯根 が破折している場合など、治療を行ってもうまくいかないと予想されるケースも稀に あります。今回の症例は精密根管治療を施しても費用対効果は低くなることが考えられました。
不幸にも歯牙の保存が不可能な場合、次のステップとして「口腔機能や見た目の保存や改善」に力を注ぐことも歯科医師の大事な役割であると当院は考えております。
治療後も今と変わらない笑顔で健康に過ごしていただくためにも、目白マリア歯科では治療開始前に精密な診査診断を行い、患者様が求める治療と身体への負担を十分に考慮して、バランスの良い治療計画をご提案しています。
下記のページもご参照ください。
● 目白マリア歯科|診療メニュー|根管治療・歯内療法
● 目白マリア歯科|診療メニュー|審美歯科
—–
専門性の高い歯科医療が、すぐそばに。
目白マリア歯科(Mejiro Maria Dental Clinic)
〒161-0033 東京都新宿区下落合3-16-13 グランドール目白1F
tel:03-6908-2923
キッズルーム完備 バリアフリー マイクロスコープ・歯科用CTなど先端医療機器完備 精密根管治療 怖くない、痛くない歯科治療 世界基準の滅菌レベル