治療概要
| 治療内容 | オールセラミックによる全顎的な審美歯科治療 |
|---|---|
| 治療期間 | 6ヶ月 |
| 治療回数 | 6回(予後経過、根管治療は含みません) |
| 費用 | オールセラミッククラウン 7本(1本176,000円 税込) 合計:1,232,000円(税込 精密根管治療費は含みません) ※処置当時の料金です |
| リスク・副作用 |
|
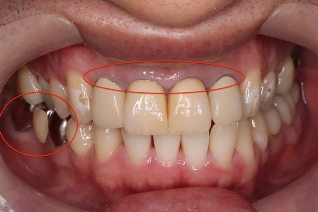
治療前の状態・主訴

他院にて、数年前に前歯の治療をされましたが、次第に色が黄ばみ、最近では歯と歯茎の境目(右写真赤丸)が気になり始めたとのことです。右下(写真左下赤丸部位)の銀歯も白くしたいというご要望がありました。
治療詳細

既存の前歯部の被せものを外し、仮歯を調整してかみ合わせに問題がないかを診査しました。その上で最終補綴物の製作を行いました。
今回最終補綴物として選択したマテリアル(材料)はオールセラミッククラウンです。
オールセラミッククラウンは、陶材で作られているため光の透過度が天然歯に似ていることから、装着後の違和感が少ないのが特徴です。
また、ステイン、プラークが付着しにくく、歯ぐきへの負担も少ないことで知られています。
かみ合わせの調和と、周りの天然歯と馴染む色の仕上がりにすることで、審美的回復を機能面と見た目を両立して実現しました。
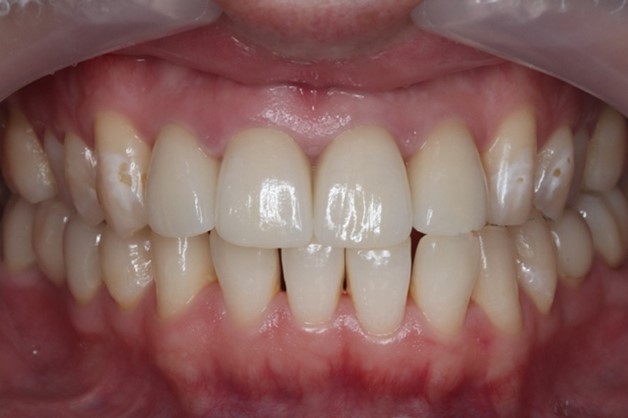
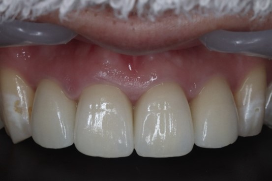
治療後の様子

歯肉の状態は非常に健康な状態に保たれ、かみ合わせも仮歯製作時と同様に良好です。
<患者様の希望を叶える自然で美しいオールセラミック。末永く美しさを保つためには、健康な歯肉の維持を見据えた審美歯科治療が大切です>
「口元の見た目を治したい」「でも、芸能人みたいに真っ白な歯はちょっと恥ずかしい」と思われる方も多くいらっしゃるでしょう。
一言で白い歯といっても、ご自身の歯の色と合わなかったり透明感のない不自然な白さでは違和感がでてしまいます。当院ではしっかりとしたカウンセリングを行うことで、患者様に合った歯の色味や形をご提案しております。
自然な白さのオールセラミッククラウンは、陶材で作られており、光の透過度が天然歯に似ていることから、美しい仕上がりが期待できます。
今回の患者様は歯と歯茎の境目と、前歯部の色を気にされていました。前歯の詰め物をオールセラミックの材料でやり変えることで、自然で明るい口元を実現しています。

近年審美治療では、被せものを製作するときの歯の過切削(歯質を多く削りすぎること)により、最終的な被せものを装着後、歯肉が腫れたりするトラブルが多く見られます。
被せものをよりきれいに見せるためには、歯肉縁下(歯茎の下)まで形成する(歯を削る)必要があります。しかし、この形成位置を間違えると、装着後に歯肉の腫れを繰り返すことになります。
当院では生物学的幅径を維持し、最終補綴物装着後も健康な歯肉を維持できるように処置を進めていきます。
歯を削らないホワイトニングや歯質削除量が少ないラミネートベニア、審美的な治療で幅広く使われるオールセラミックやジルコニアクラウンなど、患者様のご希望とお口の中の状況をしっかり診査、診断してカウンセリングを行い、患者様のご希望に沿ったご提案をさせていただいております。
こちらもご参照ください
目白マリア歯科|審美歯科|「自然な美しさ」の実現にこだわる審美治療
—–
専門性の高い歯科医療が、すぐそばに。
目白マリア歯科(Mejiro Maria Dental Clinic)
〒161-0033 東京都新宿区下落合3-16-13 グランドール目白1F
tel:03-6908-2923
キッズルーム完備 バリアフリー マイクロスコープ・歯科用CTなど先端医療機器完備 精密根管治療 怖くない、痛くない歯科治療 世界基準の滅菌レベル