治療概要
| 治療内容 | 歯根端切除術 |
|---|---|
| 治療期間 | 1ヶ月 (精密根管治療後2週間後に外科処置を行った) |
| 治療回数 | 1回(他、抜糸、術後3ヶ月後、1年後の経過観察等を除く) |
| 費用 | 220,000円(当院にて精密根管治療後2年内) |
治療前の状態・主訴
患者様は、数年前に前歯のセラミック矯正を受けられた方で、最近左上の前歯(左上1番)に違和感を覚えたとのことで、当院を受診されました。
以前の歯科医院では、
「セラミックを作り直して歯の根の治療を行うと、根が割れる可能性がある」
という理由から、治療の介入は難しいと判断され、経過観察の方針をとられていたとのことでした。
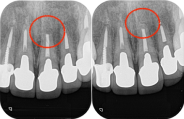
当院にて詳しく診査を行ったところ、左上1番の歯に根尖性歯周炎(虫歯や歯髄炎が進行し、歯の根の先周辺の歯周組織に炎症が生じた状態)が確認されました。
この炎症が、患者様が感じていた違和感の主な原因であると診断しました。
レントゲン画像がこちらになります。


治療詳細
このようなケースでは、主に2つの治療法が考えられます。
1つ目は、セラミックを一度除去し、根管治療を行う方法。
2つ目は、セラミックはそのままに、外科的処置である歯根端切除術のみを行う方法です。
今回の患者様は、歯根端切除術を選択されました。
どちらの方法にもそれぞれメリット・デメリットが存在するため、治療方針を決定するにあたっては、
機能面・審美面・治療リスク・費用面など、さまざまな角度からの考察が必要です。
そのうえで、患者様ご自身にとって最も適した選択をしていただくことが大切です(詳細は後述します)。


治療後の様子
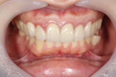
術後およそ2週間で、患者様が訴えていた違和感は大きく改善されました。
その後も3ヶ月、1年と経過を追って確認した結果、現在に至るまで外科手術による瘢痕はほとんど見られず、
美しい歯茎のラインを維持したまま、無事に治療を完了することができました。
画像がこちらになります。


今後は、再発予防と口腔内の健康維持のため、定期的なメンテナンスと経過観察を続けてまいります。
主な副作用・リスク
・歯根端切除術により、歯の動揺が生じる場合があります。
・術中に予期せぬ歯根破折が確認された場合、処置は中止させていただくことがございます。
当院は、正確な診断と患者様に寄り添った治療を提供しております
今回は、数年前にセラミック矯正を受けた際の根管治療が原因で、根尖性歯周炎を発症した患者様の症例をご紹介しました。
治療詳細でも紹介したとおり、このようなケースでは、次の2つの治療法が選択肢となります。
①セラミックを除去して再根管治療を行う
メリット
・セラミック内部の虫歯や感染部分を完全に除去できる
・根の中の状態を確認しながら、再治療が可能である
・外科的処置を回避できる可能性がある
デメリット
・セラミックは陶材のため、同じ色合いで再製作するのが難しい場合がある
・被せ物や土台を外す工程で歯根破折や穿孔などのトラブルを起こす危険性がある
ただし、確かな技術を持つ歯科医師であれば、これらの工程は大きな問題にはなりません。
よって、「セラミックを外すのが大変だから根管治療を避ける」というのは正しい判断とは言えません。
②歯根端切除術を行う
メリット
・成功率が90〜95%と高く、外科処置のみで炎症を抑えることが可能
・被せ物を外さずに済むため、治療費や時間の面でも負担が少ない
デメリット
・外科手術が必要なため、身体への負担がある
・歯茎が下がるなど、審美的なリスクが生じることもある
この治療を選択する場合は、事前の正確な診断が極めて重要です。
今回の患者様は②の「歯根端切除術」を選択され、無事に根尖性歯周炎が治癒しました。
また、心配されていた審美的な問題もなく、自然な見た目を保ったまま治療を終えることができました。
歯根端切除術は、患者様の利益が大きい治療法です。しかし、診断を誤ると、虫歯の取り残しや審美的な障害が生じるリスクもあるため、適切な診査・診断のもとで選択することが重要です。
目白マリア歯科では、患者様お一人おひとりに最適な治療をご提案しています。
複数の治療方法をご説明し、ご納得いただいたうえで治療方針を決定しております。
なにか不安なことがございましたら、いつでもお気軽にご相談ください。
こちらもご参照ください。