治療概要
| 治療内容 | 再根管治療|精密根管治療 |
|---|---|
| 治療期間 | 1週間 |
| 治療回数 | 2回 |
| 費用 | 154,000円(税込) ※処置当時の料金 |
治療前の状態・主訴

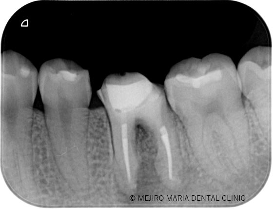
歯肉が腫れと痛みを訴え来院された患者様です。症状、レントゲン、ポケット診査より根尖性歯周炎と診断。 診査時には触ることでの痛み、限局的な歯周ポケットを確認しました。
治療詳細
顕微鏡下にて、軟化象牙質(虫歯)や根管内充填物を綺麗に除去し、貼薬を1週間行いました。
1週間後、痛みと腫れは消失しました。
治療後の様子

経1ヶ月後の経過観察で治癒過程が確認できれば、可及的速やかに最終補綴物の製作に移行します。
3ヶ月後に再度経過観察を行い最終的な根管治療の予後を確認する予定です。
歯の根の治療(根管治療)の期間を短く、再治療のリスクも抑える目白マリア歯科の精密根管治療
今回の症例は、左下奥歯が腫れたことを主訴に来院された患者様のケースをご紹介しました。

こういった根の病気のトラブルは治療が難しく、治療回数が多いことが一般的です。
当院の精密根管治療は1〜2回でしっかりとした根の治療を診査の段階から行ってまいります。精密根管治療は歯科医院に通う手間と時間を短縮させていただくことが可能になります。
また、こうした成功率の高いエビデンスに基づく治療は、将来的に再治療が必要になる可能性を低くすることができ、再治療の際に歯の厚み(強度)を失う事を回避することで、直接歯の寿命を延ばすことにつながると考えられます。
当院では、歯内療法専門医院と同等な経験と技術をご提供させていただくことが可能です。
目白マリア歯科では精密根管治療を行うことで、将来的に再治療のリスクを低くすることはもちろんのこと、治療期間の短縮という毎日の生活にとって非常に重要な「時間」にも配慮させていただいております。
特に歯の根の病気や症状、トラブルは放置しておくと将来的に歯を失う可能性を高め、しかもその時期が早く訪れてしまうことになりかねません。
お仕事やご家庭の事情でなかなか時間が取りにくい方こそ、治療についてご相談ください。
—–
専門性の高い歯科医療が、すぐそばに。
目白マリア歯科(Mejiro Maria Dental Clinic)
〒161-0033 東京都新宿区下落合3-16-13 グランドール目白1F
tel:03-6908-2923
バリアフリー マイクロスコープ・歯科用CTなど先端医療機器完備 精密根管治療 怖くない、痛くない歯科治療 世界基準の滅菌レベル